Szolgáltatások

Rendelőnket a legkorszerűbb fogorvosi berendezésekkel szereltük fel.
A felhasznált anyagok a legnagyobb és legismertebb fogászati anyagokat gyártó cégektől származnak, és természetesen mindenben megfelelnek az EU előírásainak.

ELSŐ LÉPÉSEK

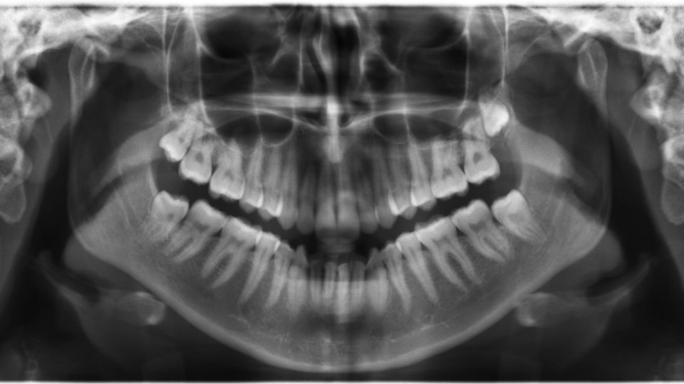
Kezelések előtt, az első találkozáskor egy vizsgálat alkalmával felmérjük fogazatának állapotát, szükség esetén készítünk egy digitális panoráma Rtg. felvételt és ezek alapján megbeszéljük az Ön kezelési tervét és árajánlatát.

FOGÁPOLÁS

Minden kezelés előtt egy alapos, professzionális fogtisztítást végzünk:

  • A fogköveket ultrahangos készülékkel eltávolítjuk
  • Fogait megtisztítjuk a nem kívánatos elszíneződésektől
  • Fogait magas fényűre polírozzuk
  • Végül a fogíny egy fertőtlenítő, megnyugtató kezelést kap

GYÖKÉRCSATORNA KEZELÉSEK

Amennyiben a fog belsejében lévő ideg nagyon gyulladt, vagy már elhalt, a fog csak gyökércsatorna kezelés árán menthető meg.

Gondos érzéstelenítés után a gyökércsatornát megmunkáljuk, fertőtlenítjük, végül gyökértömést készítünk.

Mindezt digitális Rtg. kontroll mellett végezzük, így Önt minimális sugárterhelés éri.

CSAPOS FELÉPÍTÉS

Ha a természetes fog nagyon destruált, viszont a gyökér még megtartható, akkor a gyökértömött fogat gyökércsappal építjük fel.

Erre a felépítményre készül el a korona.

FOGTÖMÉS

A káros, magas higanyterhelés (nehézfém) és a növekvő esztétikai igények miatt egyre több páciens szeretné kicseréltetni amalgámtöméseit.

A kis – és közepes nagyságú fog defektusok esetében ideális megoldást jelentenek a kompozit tömések.

A tömés elkészítése során jelentősen kevesebb foganyagot kell feláldozni.

A kompozit anyagok a megszilárdulás alatt, de később is zsugorodnak, ezért a kompozit tömések elkészítése jóval nagyobb gondosságot igényel, mint egy amalgám tömésé.

Optikailag ezek a tömések alig különböznek a természetes fogaktól.

FOGPÓTLÁSOK

Fogpótlásoknak három különböző formája létezik

Részletek

Rögzített fogpótlás

Részletek

KORONA

Ha a fog károsodása olyan mértékű, hogy töméssel nem hozható helyre, akkor koronát kell készíteni. Így a fog visszakaphatja eredeti formáját és színét.

ÖNTÖTT KORONA

Fémből készült korona, esztétikai leplezés nélkül. A legegyszerűbb és legerősebb fajta, de esztétikai okokból nem ideális.

FÉMKERÁMIA KORONA

Erős fémváz, kerámia leplezéssel. Így lehet a stabilitás és az esztétika magas elvárásainak megfelelni.

CIRKONKERÁMIA KORONA

Esztétikailag a legszebb megoldás. A fémmentes porcelán koronák fényáteresztő képességük révén hasonlítanak leginkább a természetes fogakhoz.

HÍD

Ha egy, vagy több fog hiányzik, akkor a hiányt határoló pillérfogak között hídtagokkal pótolhatjuk a fogakat.

Kivehető fogpótlások

Részletek

TELJES FOGSOR

Ha minden fogát elvesztette a páciens, teljesen kivehető fogsort lehet készíteni. Ez a pótlás a felső, vagy/és alsó állcsonton fekszik, és csupán a vákuum szívóereje révén rögzül azokhoz.

RÉSZLEGES FOGSOR

Ha a szájban foghiányok és maradó fogak egyaránt vannak, készíthető kivehető fogpótlás, amely a maradék fogakon kapcsok segítségével rögzíthető.

Kombinált fogpótlások

Ez egy stabil és szép megoldás. A megmaradt fogakat koronákkal látjuk el, amelyekbe rögzítő elemeket építenek be. Ezek révén rögzítjük a pótlás kivehető részét. A fogsor a finommechanikai rögzítő elemek révén nem billeg és a kapcsok hiánya miatt esztétikailag is szép megoldást jelent.

IMPLANTOLÓGIA

Az implantátumok művi foggyökerek, amelyek révén a legtöbb esetben a kivehető helyett rögzített pótlást készíthetünk. Alapos általános és Rtg. vizsgálatok alapján eldöntjük, hogy lehet-e implantátumokat behelyezni. Szakemberünk egy operáció során beültet a csontba egy, vagy több implantátumot. A gyógyulási idő után az implantátumok fogíny feletti részére elkészülhet az általában rögzített fogpótlás. Implantátumok felhasználása révén készülhet kombinált fogpótlás, de nagy segítséget jelenthetnek a teljes kivehető protézisek rögzítésénél is. Az implantálás manapság a mindennapos fogászati beavatkozások közé tartozik, nem igényel kórházi ellátást. Az implantátumok új életminőséget hoznak az Ön életébe.

BABAVÁRÓ CSOMAG

Állapotfelmérés, professzionális fogtisztítás, soft lézeres kezelés, tanácsadás